华体会网页版登录入口

华体会网页版登录入口-华体会(中国)-华体会(中国) 华体会网页版登录入口-华体会(中国)-华体会(中国) 政策法规 产业市场 节能技术 能源信息 宏观环境 会议会展 活动图库 资料下载 焦点专题 智囊团 企业库
宏观环境  节能产业网 >> 宏观环境 >> 商业资讯 >> 正文
出国看病:溶瘤病毒,让晚期脑癌3年生存率翻5倍
来源:节能产业网 时间:2020/8/17 9:50:31 用手机浏览

对于逐年增长的出国看病者来说,美国领先全球的创新药、新疗法,是吸引他们的重要原因。据跨境医疗行业领军者汉鼎好医友介绍,在出国看病患者中,脑癌是较为常见的病种。

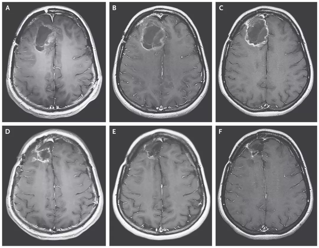
(患者脑部肿瘤的缩小清晰可见)

比“癌王”还凶险的脑癌 3年生存率翻5倍

脑癌约占全身肿瘤的5%,其中最常见也最致命的当属胶质母细胞瘤。这类肿瘤生长速度快、病程短、术后易复发、预后差,95%未经治疗的患者生存期不超过3个月。即便经过治疗,患者的2年生存率也仅在10%左右,可长期生存的更是不到5%,比“癌王”胰腺癌还低!复发患者生存期一般不超过12个月。

目前,胶质母细胞瘤的常规治疗方法主要有手术、放疗、化疗及其他综合治疗,但一直以来疗效都不尽如人意。近年来热门的免疫检查点抑制剂(PD-1疗法)都铩羽而归。针对该领域的临床试验也层出不穷,研究者希望找到更有效的治疗方案。目前,有两种思路被证明可行:一种是CAR-T免疫疗法(2016年曾报告过一例CAR-T治疗胶质母细胞瘤的成功案例,但该疗法目前价格昂贵)。另一种则是溶瘤病毒。科学家将经过改造的病毒注射到人体内,以激活T细胞为主导的免疫反应,从而杀死癌细胞。

此前,一篇发表在顶尖医学期刊《新英格兰医学杂志》上的研究引起广泛关注。美国杜克大学癌症研究所的科学家,采用一种经过改造的脊髓灰质炎病毒,显著延长了脑胶质母细胞瘤患者的生命。

结果显示:治疗组的中位生存期是12.5个月,与11.3个月的历史数据相差无几;治疗组的2年生存率为21%,已比历史数据(14%)高出50%;3年生存率同样为21%,而历史数据仅为4%。经过溶瘤病毒的治疗,生存率猛增5倍!

据悉,研究人员们计划在2期临床试验中,将这款病毒疗法与现有的化疗相结合,治疗复发性胶质母细胞瘤。目前,患者招募已经启动。

真实案例

20岁多岁的斯蒂芬妮·利普斯科姆是一名脑胶质母细胞瘤复发患者,被医生断言仅剩几个月的生命。幸运的是,她成为了首名接受这项试验性病毒治疗的患者。在接受治疗后,她大脑里的肿瘤不断缩小。在2014年,肿瘤竟彻底消失了。这个“奇迹”经美国CBS电视台知名栏目《60分钟》报道后,震惊全美。

(汉鼎好医友中美远程会诊现场)

汉鼎好医友:中美专家把关,出国看病无忧

此前,美国通过了一项新法案——《尝试权法案》,允许绝症患者尝试使用尚未获美国FDA批准上市的试验性药物和疗法(须通过Ⅰ期临床试验),给部分出国看病患者带来了更多治疗可能性。此外,部分患者也可通过申请参与临床试验,有条件获得试验药物。患者可登录clinicaltrials.gov官网,查询相关试验信息。

汉鼎好医友提醒,虽然新疗法可能让不少患者获益,但也有一定风险:新药、新疗法未必比现有疗法好;由于存在个体差异,新疗法未必对一些患者有效;可能存在无法预料的副作用;可能耗费患者更多时间和精力。因此,决定出国看病前,请尽量先找美国相关领域专家进行评估。

上市公司汉鼎宇佑旗下中美跨境医疗平台汉鼎好医友,目前已签约上万名各专科领域的美国医生,与美国各大顶尖医疗机构保持着良好合作关系。在中国,汉鼎好医友已在200家国内三甲建立了“院中院”医疗场景,独创线上中美远程医疗、线下中美治疗与随访的服务闭环,成为中国三甲医院深度合作国际医疗平台。患者最快只需24小时,就可获得美国名医顶级医疗服务,并可在国内实现落地诊疗,美国专家会及时跟进治疗情况。近年来,在汉鼎好医友的努力下,这项服务在部分城市已进入当地医保。

脑癌患者如欲出国寻求新疗法,可预先由中美专家远程视频沟通,评估赴美转诊的必要性与预期疗效。此外,汉鼎好医友将为患者提供一条龙医疗及生活服务。待病情稳定回国,再返回当地合作医院接受后续治疗,全程由同组中美医生跟踪管理,保证治疗的连贯性。



分享到:
华体会网页版登录入口相关的文章 iTAG:
没有华体会网页版登录入口相关的文章
频道推荐
服务中心
微信公众号

CESI
关于本站
版权声明
广告投放
网站帮助
联系我们
网站服务
会员服务
最新项目
资金服务
园区招商
展会合作
华体会网页版登录入口-华体会(中国)-华体会(中国) 上线下相结合的一站式节能服务平台。
©2007-2020 news-store.com

节能QQ群:39847109
顶部微信二维码底部
扫描二维码关注官方公众微信